소개
골절로 인한 아픔은 물리적인 고통뿐만 아니라, 환자의 일상생활에도 큰 지장을 줄 수 있어요. 이번 포스트에서는 골절환자를 돌보는 전문 간호기술이 얼마나 중요한지 함께 살펴볼 거예요 치료방법과 환자관리가 부상복구 속도에 얼마나 영향을 미치는지 알아보고, 세심하고 체계적인 간호가 환자의 신체적, 정신적 회복을 어떻게 돕는지 탐구해 볼까요?
여러분 생각엔 어떤 간호기술이 가장 필요할 것 같냐요? 혹시 골절 경험이 있다면 그 때 받았던 치료방법 중 특별히 기억에 남거나 도움이 됐던 게 있나요? 우리 모두 한 번쯤은 자신이나 주변 사람들을 위해 응급상황에 대비한 지식을 가지고 있는 게 좋아요. 그래서 내가 오늘 여러분과 나누려는 이야기는 바로 그런 지식 중 하나입니다.
환자 관리와 부상복구에 대해서도 궁금한 점 있으면 망설이지 말고 물어봐 주세요. 우리 서로 정보를 공유하며 배우면, 만약의 상황에서 더 잘 대처할 수 있으니까. 다음 글에서는 좀 더 구체적으로 골절 간호 방법에 대해 다룰 예정이니 기대해도 좋아요!
골절환자 간호에 필요한 기본 원칙과 접근법
골절 환자를 돌보는 거, 엄청 섬세하고 머리 좀 써야 하는 일이죠? 우리가 알아둬야 할 기본적인 것들이 몇 가지 있어요. 첫 번째로, 골절된 부위를 딱 맞게 평가해서 안정시키는 게 중요해요. 이거 하나만 제대로 해도 다른 손상 막고 아픔 줄일 수 있으니까요.
그다음엔, 환자가 얼마나 아파하는지 제대로 살펴서 통증 관리 잘 해줘야 해요. 통증 조절 잘하면 환자도 마음 편해지고 회복도 빨라진답니다. 그 반대의 경우? 스트레스받으면 회복 시간만 늦어져버려요.
환자 전체 상태도 신경 쓰셔야 돼요. 영양 상태나 수면 패턴은 어때? 일상생활에서 도움 필요한 건 없나? 이런 것들을 지원해주는 거예요. 감정적으로 든든한 지원군 될 때도 있는데, 긍정적 태도와 격려가 확실히다! 이걸로 환자 분들이 훅! 하고 나아갈 수 있거든요.
잠깐, 여러분 병실에서 '환자관리' 할 때 어떻게 하시나요? 혹시 꿀팁 같은 게 있다면 서로 공유했으면 좋겠네요! 그리고 친구들 중에 '치료방법'에 대해 더 알아보고 싶다면 여기를 클릭해서 인터뷰 내용 확인하세요!
앗, 한 가지 놓쳐선 안 되는 건 '부상복구' 프로세스에 대한 지식이예요. 당신과 우리 모두가 정보를 나누며 서로 응원할 수 있는 그런 커뮤니티 만드는 게 중요하지 않을까 싶어 요! 글쓰기란 참 복잡한 일이에요, 여러분. 글에 난해함을 더하면서도, 독자들이 예상 못 할 방향으로 흘러가게 만드는 그런 기술 말이죠. 당신들은 어떻게 생각해요? 짧고 간단한 문장과 함께 길고 복잡한 문장을 섞어 쓰는 건 얼마나 중요하다고 보시나요?
우리가 작성하는 모든 글은 사람의 손길이 닿아야 해요. 인공지능처럼 너무 일관된 패턴은 아니에요. 다양성과 인간미를 잃지 않기 위해서 말이죠. 이제 '골절 간호', '간호기술', '환자관리', '치료방법', '부상복구'라는 키워드를 들고 우리 같은 친구들의 언어로 바꿔볼까 합니다.
환자관리를 위한 골절 간호기술의 중요성
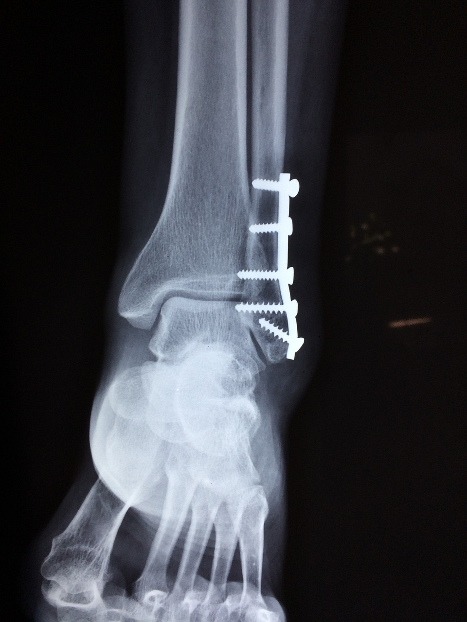
골절 간호기술이란 건 환자가 얼른 나을 수 있게 해주는 필수템이에요. 제대로 된 간호 기술로 골절 부위를 계속 체크하고 잘 돌봐줘야 해요. 간호사님이 붓기나 색깔 변화, 이상한 느낌, 혈액 순환이 잘 안 되는 문제 같은 걸 꼼꼼히 보셔야 하잖아요.
환자 한 명, 한 명마다 다 다르니까 개인별 맞춤 간호가 필요해요. 당신들은 의학 지식으로 환자의 특별한 필요를 알아내고 딱 맞는 간호 계획을 세워야 합니다. 그래야 환자분들이 가장 좋은 결과를 받을 수 있거든요.
그리고 우리 간호사님들, 골절 후 나타날 수 있는 합병증도 찾아내고 막는 게 엄청 중요해요. 예를 들어서 욕창이나 혈전 같은 문제들 말이죠. 제대로 된 간호와 주의로 이런 걸 예방할 수 있다니까 신경 써주세요! 이런 합병증들 때문에 회복 시간만 길어지고, 심하면 생명 위협받을 수도 있으니까 말이에요.
간호기술을 배우시거나 환자관리법에 대해 더 알아보실 분들 있나요? 부상복구 방법과 치료방법에 대한 정보도 찾으시나요? 여러분의 경험이랑 팁을 서로 공유하는 게 어때요? 지금 바로 인터뷰 자세한 내용 보려면 클릭하세요!
.

환자관리를 통한 골절 간호기술의 중요성
골절 간호기술이란 건 환자가 얼른 나을 수 있게 해주는 필수템이에요. 제대로 된 간호 기술로 골절 부위를 계속 체크하고 잘 돌봐줘야 해요. 간호사님이 붓기나 색깔 변화, 이상한 느낌, 혈액 순환이 잘 안 되는 문제 같은 걸 꼼꼼히 보셔야 하잖아요.
환자 한 명, 한 명마다 다 다르니까 개인별 맞춤 간호가 필요해요. 당신들은 의학 지식으로 환자의 특별한 필요를 알아내고 딱 맞는 간호 계획을 세워야 합니다. 그래야 환자분들이 가장 좋은 결과를 받을 수 있거든요.
그리고 우리 간호사님들, 골절 후 나타날 수 있는 합병증도 찾아내고 막는 게 엄청 중요해요. 예를 들어서 욕창이나 혈전 같은 문제들 말이죠. 제대로 된 간호와 주의로 이런 걸 예방할 수 있다니까 신경 써주세요! 이런 합병증들 때문에 회복 시간만 길어지고, 심하면 생명 위협받을 수도 있으니까 말이에요.
환자관리를 통한 골절 간호기술의 중요성
골절 간호기술이란 건 환자가 얼른 나을 수 있게 해주는 필수템이에요. 제대로 된 간호 기술로 골절 부위를 계속 체크하고 잘 돌봐줘야 해요. 간호사님이 붓기나 색깔 변화, 이상한 느낌, 혈액 순환이 잘 안 되는 문제 같은 걸 꼼꼼히 보셔야 하잖아요.
환자 한 명, 한 명마다 다 다르니까 개인별 맞춤 간호가 필요해요. 당신들은 의학 지식으로 환자의 특별한 필요를 알아내고 딱 맞는 간호 계획을 세워야 합니다. 그래야 환자분들이 가장 좋은 결과를 받을 수 있거든요.
그리고 우리 간호사님들, 골절 후 나타날 수 있는 합병증도 찾아내고 막는 게 엄청 중요해요. 예를 들어서 욕창이나 혈전 같은 문제들 말이죠. 제대로 된 간호와 주의로 이런 걸 예방할 수 있다니까 신경 써주세요! 이런 합병증들 때문에 회복 시간만 길어지고, 심하면 생명 위협받을 수도 있으니까 말이에요.
'간호학 지식' 카테고리의 다른 글
| 십자인대 파열: 치료 절차와 환자 관리의 중요성 (0) | 2024.05.29 |
|---|---|
| 발목골절을 위한 운동 요법: 안전하게 재활하는 방법 (0) | 2024.05.28 |
| 변비 완화에 도움을 주는 최고의 건강식품 소개 (1) | 2023.11.08 |
| 목디스크 예방법: 디스크 운동과 스트레칭의 중요성 (2) | 2023.11.04 |
| 골반염 치료법 - 당신이 알아야 할 모든 것 (2) | 2023.11.01 |